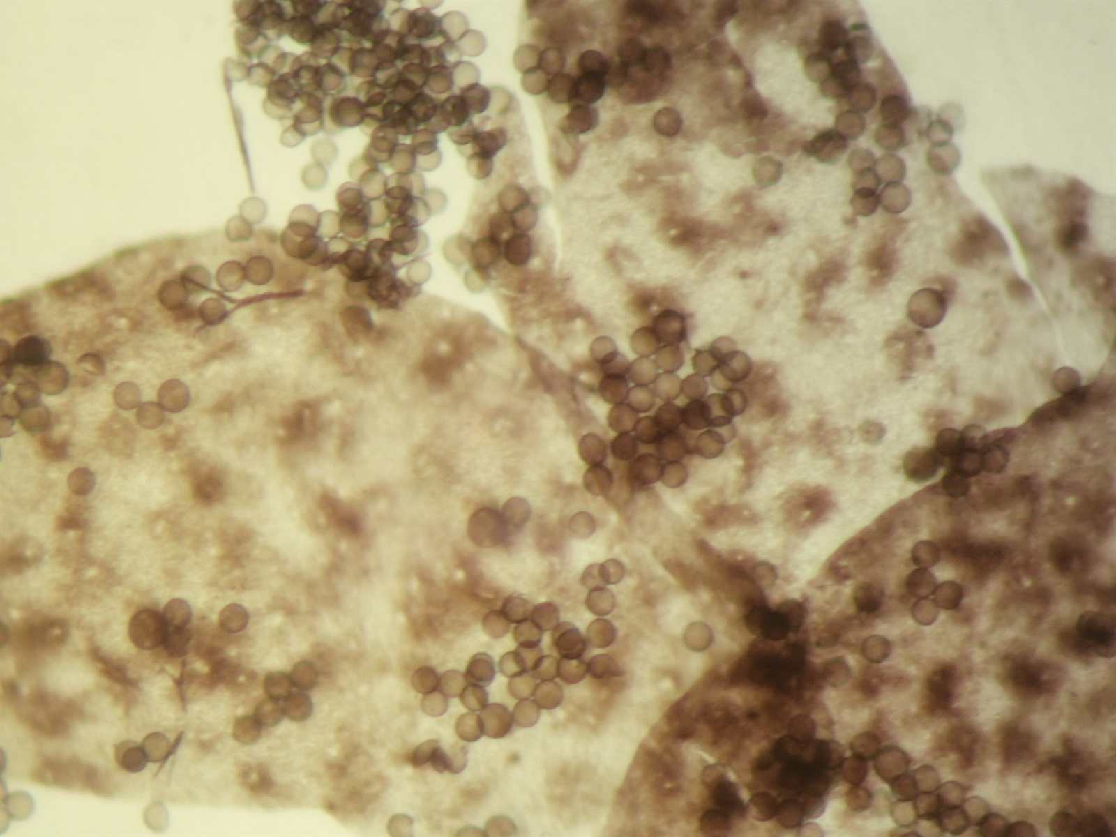
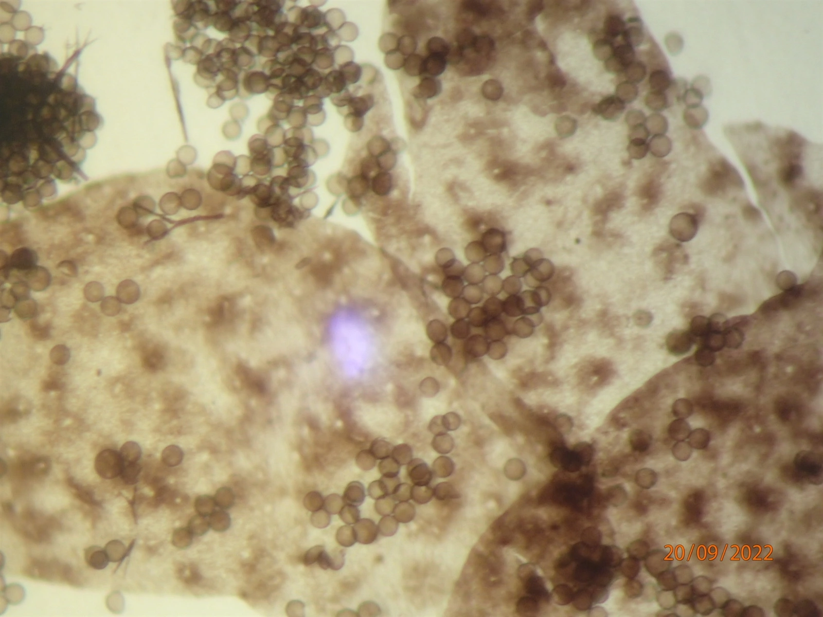
punkthagl Lamproderma puncticulatum
Klassifisering
-
- Protistriket Protozoa Rike
- Slimsopper Mycetozoa Rekke
- Myxomycetes (Myxogastrea) Klasse
- Stemonitida Orden
- Stemonitidaceae Familie
- Haglslim Lamproderma Slekt
- punkthagl Lamproderma puncticulatum Art
- Vitenskapelig navn
- Lamproderma puncticulatum
-
Bokmål
- punkthagl
-
Gå til navnetreet
Registrerte observasjoner
Prikkene markerer registrerte funn av arten/artsgruppen.
Bilder